- 歯が黄ばんでいる…
- 歯の変色が気になる…
- もっと白い歯にしたい!
ホワイトニングにご興味のある方はアニメからご覧ください

Googleスライド版(別ウィンドウ表示)はこちら >>
ホワイトニングで笑顔にもっと自身を!
人と話したり、笑う時に、歯の黄ばみや変色を気にされる方が大勢おられます。
確かにコミュニケーションを取る際の歯の色や口臭は気になるものだと思います。
ホワイトニングは歯の黄ばみや変色、歯ぐきの黒ずみを解消する治療です。
歯の色への気遣いがなくなり、日常生活がより楽しくなるホワイトニングを有効利用しましょう。
■ ホワイトニングで若返り!
黄ばんだ歯が白くなると5歳は若返る!
中高年以上、老齢者になると加齢により、歯が黄ばみくすんで見えます。
そこで、ちょっとおしゃれに若返り!!
黄ばんだ歯を若々しい白く輝く歯にしませんか!?
同窓会やPTAの会合や集まりに、町内会や旅行前に、
久しぶりに集まる身内の会合や結婚式に、
歯がくすんでいると老けて見られてしまいます。
■ ホワイトニングで5歳、若返りませんか?
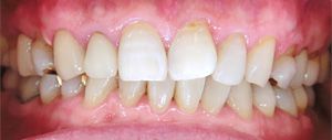
自分自身で試してみました、写真でわかります!
ホワイトニングの効果を前歯で比較
| 治療期間 |
5年(2010/06/14 ~ 2015/06/22) 通院回数に換算するとトータル18回です |
| 総治療費 |
院長自身の症例なので治療費は参考としてください。 ¥180、000 +税 |
| 本症例のメリット |
歯が白くなる、きれいになる、若返る
歯周病菌・虫歯菌が除菌され、病気になり難くなる(予防効果) |
| 本症例のデメリット |
一時的な歯のしみ(知覚過敏)が起こることがある
メインテナンス(リタッチやホームホワイトニング)をしないと元に戻る |
これはお勧めです。
気持ちが若返り、晴れやかになります。
エステのクリーニングや
薬局販売の美白・歯白歯磨剤とは、
結果が違います!白さが違います!
医療機関ならではの確実な白さを
お届けいたします。
当院で、パーフェクトホワイトニングSAIを施術した98%の患者さんが、
「笑顔に自信が持てた。」と喜び、満足されています。
また、2015年4月より新しいポリリン酸プラチナホワイトニングを導入しております。
以前は導入しておりませんでしたが、
改良が重ねられ名称に“プラチナ”がついた新たなシステムは
安全性と歯の白さの効果の両面の向上を院長自身で実感しております。
当院が自信を持ってお勧めするホワイトニングをぜひお試しください。
青柳歯科クリニック
院長 吉田 隆
就活・婚活・結婚・ビジネス・パーティ…
もっと輝きたい時ってあると思います。
歯を白くするだけで笑顔や印象はぐっと高まります。
白い歯にしたいと思った時がホワイトニングのお勧め時、
お気軽にお問い合わせください。
白い歯にしたら笑うことへの気遣いがなくなりました。
プライベートや仕事も楽しくなって、
充実した日々を過ごせるようになりました。
ホワイトニングをしたら
好印象を持たれるようになった!
仕事が順調に運ぶようになったし、
清潔感や爽やかな印象って大事ですね。
お父さん、お母さん、長い間お世話になりました。
結婚式では私の最高の笑顔を見てね^^
院長およびスタッフ一同で検証した結果、
ホワイトニング効果をより実感していただけるパーフェクトホワイトニング 彩 - SAI -
を導入しております。
ホワイトニング 彩 - SAI - は通常3回1セットの施術になります。
ブライトニング
明度を上げて、明るく透明感のある白い歯
ホワイトニング
彩度を上げて、白い紙のようなマットな白い歯
の2種類からお選びいただけます。
■ ホワイトニングの治療の流れ
通常は2回目までをブライトニング、
3回目はブライトニングまたはホワイトニングのどちらかを、
歯の白さや状態を見て、患者様と相談して決定します。
一般的に日本人はエナメル質の薄い歯質です。
ホワイトニングで起こりがちな
痛みやしみ(知覚過敏)への対策も
2種類のホワイトニングシステムを使い分けることで
対応できるのは大きなメリットです。
■ ホワイトニングの費用
ホワイトニング 彩 - SAI - では、
上の歯8本・下の歯8本、計16本の歯を白くすることができます。
| ホワイトニング施術費 |
3回1セットの施術となりますので、
ホワイトニング治療に3日間続けて来院していただきます。
¥30、000 +税 |
別途費用について
ただやみくもにホワイトニング施術をしても患者さんが納得される歯の白さはなかなか得られるものではありません。
そのため当院ではホワイトニング効果を最大限に引き出すために、薬剤がきちんと歯面に浸透するようクリーニングを徹底しております。
| 施術前クリーニング |
虫歯、歯周病検査(有病の場合、先に治療します)
歯垢(染め出し)・歯石除去、歯周ポケット(歯肉溝)の清掃等
¥5、000~ +税 |
クリーニングは予防歯科のPMTC(専門的機械的歯面清掃)を上回る施術となり、虫歯や歯周病予防、息をキレイにする効果も期待できます。
より白い歯を実現するためにどうぞご理解ください。
■ ブライトニング
歯質を傷つけない刺激の少ない薬剤を
使用して、明るく透明感のある歯にする
歯にやさしいホワイトニング。
| 薬剤 |
デントレード社のホームホワイトニング剤使用
35%過酸化水素水使用 |
| 光触媒 |
酸化チタン使用 |
| 光照射 |
8分間照射 |
| 仕上がり |
明るい透明感のある白さ |
| 特徴 |
歯質を傷つけないので歯にやさしい
白さへの変化がゆるやか |
■ ホワイトニング
強力な薬剤を使用して、
白い紙のようなマットな白さになる
“白さを実感しやすい”ホワイトニング。
| 薬剤 |
Ultradent社の40%過酸化水素ジェル使用 |
| 光触媒 |
酸化チタン使用 |
| 光照射 |
15分間照射 |
| 仕上がり |
白い紙のようなマットな白さ |
| 特徴 |
歯の白さを実感しやすい
強力な薬剤のため歯にミクロの傷がつきやすい
ややしみる感じがするので、 歯質(知覚過敏など)によっては否適応になる |
歯が白くなるのは、薬剤に含まれている過酸化尿素や
過酸化水素が分解する際に発生する活性酸素が
着色有機質を分解・低分子化させ無色化するためです。
つまり活性酸素が効率よく発生すれば
高いホワイトニング効果を得られることになります。
そこで光触媒です。
光触媒は光照射を受けると多量の電子を放出する性質を
持っており、この電子が過酸化水素の反応を早める触媒として機能し、
活性酸素が多量に発生します。
この多量に発生した活性酸素によって歯は安全に効率よく白くなっていきます。
ブライトニングおよびホワイトニングの治療例です。
術前と術後を比較するとどれだけ白くなったかわかります。
1、施術前
2、ブライトニング施術後
刺激の少ない薬剤を使用して、
明るい透明感のある歯になりました。
3、ホワイトニング施術後
ブライトニングの後、
少し強い薬剤を使用して
“白さを実感できる”ホワイトニングを
しました。
| 治療期間 |
1ヶ月 / 通院回数3回 |
| 総治療費 |
¥30、000 +税 |
| 本症例のメリット |
歯が白くなる、きれいになる、若返る
虫歯菌、歯周病菌の除菌効果で虫歯、歯周炎が改善、病気になり難くなる(予防効果) |
| 本症例のデメリット |
一時的な歯のしみ(知覚過敏)が起こることがある
メインテナンス(リタッチやホームホワイトニング)をしないと元に戻る |
歯が白くなるホワイトニング以外の手軽な治療をご案内します。
いずれも安全で無理のない治療になりますので安心してお試しください。
■ PMTC:歯科医院でおこなう“お口のクリーニング”
口腔内には歯ブラシの届きにくいところや
汚れの溜まりやすいところがあり、
歯磨きだけでは少しづつ汚れていきます。
PMTCは専用機器を使ったお口のクリーニングです。
口腔内のバイオフィルム(虫歯菌や歯周病菌の温床)を
除去し、歯面をつるつるに磨いて、
一定期間汚れを付きにくくします。
歯の表面の汚れも落ちるので、
ホワイトニング後の利用で歯の白さを持続することができます。
PMTC選べる4コース
定期的なPMTCは歯の健康を長期間保つための秘訣です。
目的に応じて4つのコースからお選びください。
| スペシャルコース |
口腔内の本格的なクリーニング&リラクゼーション効果 のあるリンパマッサージ
¥10、000 +税 |
| 次亜塩素酸水コース |
歯周病・口臭が気になる方にお勧めの本格的なクリーニング
¥7、000 +税 |
| ベーシックコース |
予防をメインとしたクリーニング
¥5、000 +税 |
| クイックコース |
ホワイトニング後の歯の白さの維持に適したクリーニング
¥2、375 +税 |
■ ウォーキングブリーチ
過去に根管治療をしたり、転んで歯をぶつけた場合、
その歯は神経の絶たれた失活歯となっているかもしれません。
失活歯の黒ずみや変色はホワイトニングでは白くできないため
ウォーキングブリーチによる施術になります。
ウォーキングブリーチ法では歯の裏側に穴をあけ、薬剤を入れて白い歯にします。
変色の度合いにより効果に個人差があり、
また元の歯の色以上に白くはなりませんが改善することは可能です。
薬剤の交換に数回(2~6回)の通院が必要になります。
歯ぐきの黒ずみや変色でお悩みではありませんか?
■ ガムブリーチ
話しをしている時や笑った時に、
歯ぐきが黒ずんでいて目立つようだと
どうしても気になってしまいます。
ガムブリーチは黒ずんだ歯ぐきを解消し、
健康的なピンク色の歯ぐきに戻す治療です。
当院では効果の高い薬液法(ケミカルピーリング)を
行っています。
自宅で消毒に使用するイソジンは保険適用で処方しております。
手軽にピンク色の歯ぐきに戻せますのでお気軽にご相談ください。
ホワイトニングは処置にお時間がかかるため、
全て予約制となっています。
ご興味のあるかたは、スタッフにお尋ね下さい。
当院の歯科衛生士からくわしいご説明をさせていただきます。
